|
Résonance
magnétique
Scanner
Radiologie
numérique

Mammographie
Densitométrie
Echographie / Radiologie
interventionnelle
i
Indications
des
examens radiologiques
@
Adresses e-mail
des médecins de Suisse Romande

Sondage d'opinion des médecins

Les astuces
Liens Internet
Abréviations
Histoire de la
radiologie
Serment d'Hippocrate
Plan d'accès à l'Institut
Prépararation aux
examens
Plan du site
Home
English website
|
english
Mammographie
Mammographe
numérique (digital direct) microdose avec diagnostic
assisté par
ordinateur!
Dans la population suisse, un quart des
décès est imputable au cancer; le sein occasionne autant de
cas de
cancer chez la femme de plus de 40 ans que tous les autres
organes
réunis. Or la pratique du dépistage chez les femmes à partir
de l'âge
de 50 ans a permis de réduire de 30 à 50 % la mortalité
occasionnée par
le cancer du sein. Ce dépistage sera pratiqué encore plus tôt
s'il
existe des facteurs de risque, comme l'existence d'un cas de
cancer du
sein dans la famille proche.
La mammographie de dépistage permet de
découvrir des tumeurs à leur début, lorsqu'elles ne sont pas
encore
palpables, mais se manifestent déjà par de fines
calcifications ou de
discrètes modifications de l'architecture du sein. A ce stade,
le
traitement conduit bien souvent à la guérison complète du
cancer, avec
des séquelles minimes.
Méthode d'autopalpation: cliquez sur
l'image ou
téléchargez
le
fichier .pdf
Comment se pratique un dépistage:
- par l'autopalpation;
chaque femme devrait pratiquer l'auto-examen des
seins une fois par mois pendant toute sa vie
- par un contrôle annuel chez un
médecin, qui pratiquera la palpation soigneuse des deux
seins
- par une mammographie de dépistage
tous les deux ans dès l'âge de 50 ans au moins, plus tôt
éventuellement
s'il existe des facteurs de risque.
La mammographie standard, réalisée par
un médecin radiologue, comporte trois étapes qui se
complètent:
- l'interrogatoire (anamnèse),
permettant de préciser l'existence de facteurs de risque,
d'un
écoulement mammaire, de douleurs ou d'autres symptômes, la
date des
dernières règles ou la prise d'hormones qui peuvent
influencer l'aspect
du sein, les antécédents opératoires, etc.
- la palpation des seins, qui permet
d'orienter l'interprétation des mammographies
- la mammographie elle-même, consistant
en deux radiographies sur chaque sein; réalisé avec soin,
cet examen
est habituellement indolore.
Mammographie
numérique: cette technique maintenant généralisée permet
l'acquisition des
images grâce à un détecteur plan au sélénium sans passer par
le couple
film-écran. Avantages:
- L'image obtenue est digitale
d'emblée, ce qui permet d'en modifier à loisir les
paramètres de
luminosité et contraste; une analyse plus aisée des zones de
densités
élevée est possible (meilleure détection des lésions dans
les seins denses)
- La dose de rayons X délivrée à la
patiente est plus faible qu'avec des films, d'autant plus
qu'il est
impossible de rater un cliché par sur- ou sous-exposition.
La technique Microdose® (Philips), par comptage de
photons, permet
une diminution supplémentaire de 50% de la dose environ.
- Le résultat obtenu est immédiat et
peut être visualisé sur écran par le technicien et par le
radiologue,
avec diverses fonctions d'analyse
- Le diagnostic assisté par ordinateur
(CAD) permet de "contrôler" le travail du radiologue et de
détecter
plus de lésions. Son résultat est similaire à celui d'une
deuxième
lecture
- Les images peuvent être imprimées sur
un film, sur papier, gravées sur CD-ROM ou envoyées par
réseau
informatique aux médecins. Une copie est stockée dans
l'appareil à des
fins de comparaison.
Selon l'aspect des radiographies et le
résultat de la palpation, le radiologue peut être amené à
pratiquer une
échographie (ultrasons) complémentaire, qui permettra
d'affiner son
diagnostic. Un compte rendu complet sera ensuite rédigé et
envoyé au
médecin qui a adressé la patiente. Si les radiographies lui
sont
confiées, la patiente aura la responsabilité de les conserver
soigneusement et de les apporter au prochain contrôle, pour
permettre
un examen comparatif.
-
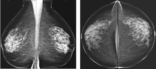
-
Exemple de cliché mammographique bilatéral (incidence
oblique)
-
1= glande mammaire 2= graisse sous-cutanée 3= muscle
pectoral
La
stéréotaxie est une technique de repérage d'une lésion
du sein
permettant de pratiquer de façon ciblée une biopsie à
l'aiguille ou la
mise en place d'un repère dans une lésion avant son ablation
chirurgicale. Elle utilise pour cela deux clichés réalisés
avec une
légère différence d'obliquité sur le même endroit du sein pour
déterminer par effet géométrique l'endroit précis de la
ponction.
Alternativement, la même opération peut être réalisée sous
guidage
échographique, surtout lorsqu'il n'existe pas de
calcifications.
|
INFORMATIONS AUX FEMMES PARTICIPANT AU
PROGRAMME
VAUDOIS DE DEPISTAGE
DU
CANCER DU SEIN:
|
|
MAMMOGRAPHIE DE DÉPISTAGE: POUR LES FEMMES DÈS 50 ANS
A. Prendre rendez-vous au Centre de dépistage.
La patiente peut choisir l'Institut de radiologie
qu'elle préfère.
B. L'examen est fait par un(e) technicien en
radiologie
médicale, sans l'intervention d'un médecin radiologue.
Aucun résultat
n'est donné sur le moment.
C. Aucun problème n'est décelé: le médecin traitant
et
la patiente reçoivent le résultat dans la semaine
suivant l'examen. En
cas d'anomalie (taux de rappel 9-10 %), le Centre de
dépistage propose
la marche à suivre au médecin traitant.
D. La lecture des radiographies est faite:
- par deux médecins radiologues (1ère et 2ème lecture)
- en cas de divergence, par un radiologue expert
désigné par le Centre
de dépistage (3ème lecture).
E. Coût pour la patiente: CHF 18.25 (=10%), non
soumis à
franchise.
|
MAMMOGRAPHIE INDIVIDUALISEE: SUR PRESCRIPTION
MEDICALE
A. Une anomalie du sein est constatée ou un contrôle
doit être réalisé: la patiente prend rendez-vous avec
l'Institut de
radiologie de son choix.
B. Le médecin radiologue de l'Institut voit et
examine
la patiente ; il lui donne le résultat de l'examen
immédiatement et
envoie un rapport au médecin traitant.
C. Si une anomalie est décelée, l'examen
complémentaire
nécessaire (cliché supplémentaire, échographie) est
réalisé à la suite.
D. La lecture des radiographies est faite par le
médecin
radiologue de l'Institut. Si nécessaire, le second
radiologue de
l'Institut peut aussi donner son avis.
E. Coût pour la patiente (soumis à franchise): CHF
23.40, soit 10% de participation (prestation médicale
52.06 pts +
prestation technique = 185.15 pts selon Tarmed
1.05.03, soit 236.70 Frs
pour un point à 0.99 Frs).
|
|
AVANTAGES:
- Coût réduit
- Sentiment de médicalisation moins marqué pour la
patiente
- 2 voire 3 médecins radiologues interprètent chaque
radiographie
- Convocation automatique tous les 2 ans de 50 à 70
ans, seulement sur demande de la patiente au-delà
INCONVÉNIENTS:
- Pas d'examen possible avant l'âge de 50 ans, pas
d'examen annuel
- La patiente n'a aucun contact avec un médecin
durant
l'examen
- Aucun examen complémentaire n'est effectué sur le
moment
- L'attente du résultat peut durer jusqu'à une
semaine
|
AVANTAGES:
- Pas de limite d'âge, examen annuel si nécessaire
(risque de cancer élevé)
- Entretien personnel et examen clinique effectué
par
le médecin radiologue
- En cas d'anomalie, l'examen complémentaire est
fait à
la suite
- Résultat immédiat après les examens effectués
INCONVÉNIENTS:
- Coût de la prestation médicale en plus pour une
qualité de clichés identique
- Il peut être utile de demander à l'avance à la
caisse-maladie si l'examen sera remboursé
- En règle générale, un seul radiologue (le même que
celui qui effectue la première lecture de dépistage)
analyse le
résultat.
|
Traitement hormonal de substitution (THS) et
cancer du sein
L'oestrogène, composant essentiel du THS,
permet de soulager des symptômes de la ménopause comme les
bouffées de
chaleur. Ce traitement est aussi efficace pour la prévention
de
l'ostéoporose: le THS administré après la ménopause prévient
ou
ralentit la perte osseuse; on réduit ainsi le risque de
fracture de la
hanche ou de la colonne vertébrale, qui peuvent être à
l'origine d'un
handicap sévère ou même d'un décès.
Certaines études ont toutefois rapporté que le
cancer du sein apparaît plus souvent chez les femmes qui ont
pris des
oestrogènes pendant de longues périodes (plus de 5 ans) ou qui
ont été
traitées par de hautes doses pendant de plus courtes périodes.
De plus, certains travaux indiquent que la prise
d'un THS
peut diminuer la détectabilité d'un cancer du sein par
mammographie.
Comment le THS interfère-t-il avec la mammographie? Un des
effets des
oestrogènes est d'augmenter la densité de la glande mammaire
chez
certaines patientes, d'où une plus grande difficulté pour
détecter des
nodules ou de petites tumeurs dans le sein. Un cancer peut se
cacher à
l'intérieur d'une glande mammaire dense. Bien que le THS ne
soit pas la
cause directe du cancer du sein, il peut diminuer l'efficacité
du
dépistage. C'est pourquoi l'on recommande de suivre de près
les femmes
sous THS. Dans les cas difficiles, on dispose toujours de
l'échographie
qui est une importante aide au diagnostic.
|