|

Résonance magnétique
Scanner
Radiologie
numérique
Mammographie
Densitométrie
EchographieRadiologie interventionnelle
i
Indications des examensradiologiques
@ Adresses e-mail
des
médecins de Suisse Romande

Sondage d'opinion des médecins
Les astuces (tips)
Liens Internet
Abréviations
Histoire de
la radiologie
Serment
d'Hippocrate
Plan d'accès à
l'Institut
Préparation
aux examens
Plan du site
Home
English
website
|
Résonance
magnétique haut champ - High field MRI (3T)
IMAGE DU MOIS - CASE OF THE
MONTH

Brain sag. FLAIR, cor. T1 Gd,
axial T1 Gd & T2: cerebellum hemangioblastoma.
(Avertissement: certains cas
présentés ici ont encore été réalisés sur des
appareils à bas champ)
(Warning: some cases presented here
still have been imaged on a low field MRI
device)
IMAGE ARCHIVE
(former cases)
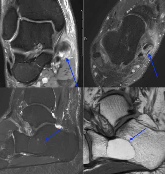
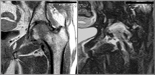
Musculosketal cases
Head and neck cases
Spine cases
Abdominal cases
Soft parts
Remarque: pour
de nombreux cas, il n'existe pas de confirmation
opératoire ou histologique du diagnostic. Cependant,
le choix s'est porté sur des exemples illustratifs
où le diagnostic s'impose sur la base de l'anamnèse
et de critères diagnostiques reconnus; parfois, il
ne s'agit que d'un diagnostic de probabilité élevée
mais dont l'intérêt méritait de figurer dans cette
liste. L'anonymat des cas présentés ici respecte le
secret médical.
Note: diagnoses on this page are
often not surgically or histologically proven. However, for most
cases diagnosis is unequivocal when considering
clinical history and current diagnostic criteria;
less often, diagnosis was only highly probable but
the case was considered worth to be shown. Image
anonymisation is performed to ensure medical secret.
|